最近在新闻上看到印度出现了一种叫"尼帕病毒"的疫情,说实话,作为家长,看到"致死率高"这几个字,心里咯噔一下。相信很多和我一样的父母,都会特别关注孩子的健康问题。
印度西孟加拉邦暴发,尼帕病毒疫情
据外媒报道,印度东部的西孟加拉邦近期出现尼帕病毒感染病例,目前已有5例确诊病例,其中包括医护人员。
报道说,近100人被要求居家隔离,感染者正在该邦首府加尔各答及周边医院接受治疗,其中一名患者病情危重。

图源:中新网
什么是尼帕病毒?有哪些感染症状?
尼帕病毒是一种人畜共患病毒(即可从动物传播给人类的病毒),也可以通过被污染的食物传播给人类,或者直接人传人。
尽管名字陌生,但实际上,尼帕病毒离我们并不远。2025年,我国学者在云南省生活于村庄附近果园中的果蝠体内,发现了两种与尼帕病毒高度相关的新病毒。
人类感染包括无症状感染,(轻微或严重的)急性呼吸道感染和致命性脑炎。受感染者最初会出现发烧、头痛、肌痛(肌肉疼痛)、呕吐和喉咙痛等症状。随后可能出现头晕、嗜睡、意识混乱和表明急性脑炎的神经系统体征。有些人还可能出现非典型肺炎和严重呼吸系统问题,包括急性呼吸窘迫。严重病例会发生脑炎和癫痫,进而在24至48小时内陷入昏迷状态。

果蝠照片 图源:稿定设计
潜伏期(从感染到出现症状之间的间隔)在4天至14天之间。但是,曾有过潜伏期长达45天的报告。
大多数急性脑炎幸存者可以完全康复,但曾有关于幸存者罹患长期神经系统疾病的报告。大约20%的患者留下神经系统后遗症,如癫痫症和人格改变等。少数人康复后复发或罹患迟发性脑炎。
病例死亡率估计为40%至75%。值得注意的是,不少媒体在报道中提到的尼帕病毒病死率高达 75% 其实并不准确。根据当地流行病学监测和临床管理能力,这一比率可能随疫情而异。
实际上,在此前的几次暴发中,这种病毒曾一次性带走上百条性命,病死率最高达到了惊人的 100%。目前尚无专门针对尼帕病毒的疫苗和有效疗法。(如果只考虑单次的暴发,那么尼帕病毒的病死率可高达 100%。这个数据出现在 2007 年的印度西孟加拉邦纳迪亚县(Nadia),好在是一次规模较小的疫情,总共出现 5 例病例,但不幸的是病死率高达 100%。)
三、当前疫情传在哪里了?
会传到中国吗?
疫情范围:目前主要集中在印度西孟加拉邦(加尔各答及周边地区),其他地区没有报告。印度政府已经启动应急机制,周边国家(如泰国、尼泊尔)也加强了边境检疫。
会传到中国吗?
目前中国没有病例报告,也没有输入病例。我国有完善的传染病监测和防控体系,一旦发现会立即采取措施
但考虑到全球化的今天,任何地方的疫情都需要我们保持警惕,不能掉以轻心!
重要提醒:大家不要轻信网上"已经传到XX地"的谣言,关注国家卫健委、疾控中心等官方发布的信息。

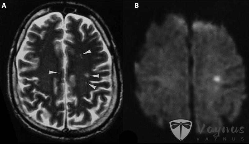
尼帕病毒感染后脑炎的核磁共振图像(图源:参考资料 1)
四、作为家长,我们该怎么保护孩子?
这部分是重点!虽然国内目前安全,但预防意识不能少。特别是家里有婴幼儿的,孩子免疫力相对较弱,更需要我们做好防护。
日常防护"黄金法则"
✅1. 减少去人员密集场所
这是最最重要的一条!商场、游乐场、室内儿童乐园、早教中心……这些地方空气流通差、人员密集,是病毒传播的高风险场所。非必要不去,如果要去,一定做好防护,缩短停留时间。
✅2. 勤洗手,讲卫生
教会孩子(大一点的宝宝)饭前便后、外出回家后、接触公共物品后都要洗手;用流动水和肥皂,搓手至少20秒(可以教宝宝唱两遍"生日快乐歌"的时间);小宝宝由家长帮忙洗手,或者用含酒精的免洗洗手液(注意看成分,适合婴幼儿的);提醒孩子不要用手揉眼睛、摸鼻子嘴巴。

图源:稿定设计
✅3. 注意饮食卫生
水果蔬菜要彻底清洗干净,最好削皮吃;不喝生水、生果汁(这点特别重要!)食物要煮熟煮透,尤其是肉类、蛋类;餐具定期消毒,不与他人共用餐具。
✅4. 保持室内通风
每天开窗通风2-3次,每次至少30分钟。天气好的时候,可以带宝宝去人少的户外活动,呼吸新鲜空气,但避免去人多的地方。
✅5. 增强免疫力
保证宝宝充足睡眠;均衡饮食,多吃蔬菜水果;适当户外活动(选择人少、开阔的地方);按时接种疫苗(虽然尼帕病毒没有疫苗,但其他疫苗能增强整体免疫力)。
✅6. 出现症状及时就医
如果宝宝出现发烧、咳嗽、呼吸困难等症状,特别是近期接触过从疫区回来的人,要立即就医并告知医生相关情况。不要自行用药,不要拖延!
最后,想对各位宝爸宝妈说:我们保护孩子,也要照顾好自己的情绪。过度焦虑反而会影响家庭氛围。相信科学,做好防护,我们的孩子会健康成长的!
如果大家有其他问题,欢迎在评论区留言交流。愿所有宝宝都健康平安!
参考资料:
[1] Ang B S P, Lim T C C, Wang L. Nipah virus infection[J]. Journal of Clinical Microbiology, 2018, 56(6): e01875-17. DOI:10.1128/JCM.01875-17.
[2] Roney M. We should concern about Nipah virus epidemic in Bangladesh[J]. Bulletin of the National Research Centre, 2024, 48: 55. DOI:10.1186/s42269-024-01213-2.
[3] Centers for Disease Control and Prevention (CDC). Outbreak of Hendra-like virus—Malaysia and Singapore, 1998–1999[J]. Morbidity and Mortality Weekly Report (MMWR), 1999, 48: 265-269.
*文章来源:综合中新网、新华网、新华社、奶爸Tan胖胖的成长笔记等











